4月15日,东方医院集团肿瘤医院迎来一项新的技术突破——成功完成院内首例经皮肺穿刺肺毛玻璃结节的微波消融术。这标志着医院在肿瘤微创治疗领域迈出了坚实一步,也为区域内肿瘤患者带来了更安全、高效的治疗新选择。该技术开辟了东方医院集团肿瘤医院肺结节患者不能耐受传统手术根治性治疗的另一种治疗新途径。

接受该术的患者孙先生术后恢复良好,他感慨道:“不用开刀,恢复得这么快,真是太好了!”孙先生的由衷赞叹,正是这项新技术带给患者的真实获益。


什么是经皮肿瘤消融术?
经皮肿瘤消融术是一种在CT影像精准引导下的微创介入治疗技术。手术过程中,医生将一根直径仅约1-2毫米的射频消融电极针,经皮肤精准穿刺至肿瘤病灶部位。随后,通过射频发生器产生高频电流,使电极针周围的组织分子高速摩擦生热,局部温度迅速升高至60-100℃,导致肿瘤细胞发生凝固性坏死,从而实现原位灭活肿瘤的目的。

01
与传统外科手术相比,
经皮肿瘤消融术具有以下显著优势:
微创无痕、手术时间短、恢复迅速、精准安全、可重复性强、适应症广泛。
· 微创无痕:仅需一个针眼大小的穿刺点,无需切开皮肤及肌肉组织,体表几乎不留疤痕。
· 手术时间短:整个消融过程通常在半小时内即可完成,对于直径3厘米以下的单发肿瘤,实际消融时间仅需数分钟至十余分钟。
· 恢复迅速:患者术后即可下床活动,住院时间大幅缩短,多数患者术后1-2天即可出院,显著降低医疗费用和家庭照护负担。
· 精准安全:在实时CT三维定位下,术者可清晰显示肿瘤边界及邻近大血管、胆管、肠管等关键结构,精确控制消融范围和温度,最大限度保护正常组织。
· 可重复性强:对于多发肿瘤或术后复发病灶,该技术可多次、分期实施,尤其适用于不能耐受再次开刀手术的患者。
· 适应症广泛:适用于原发性肝癌、肺肿瘤、肾肿瘤、骨肿瘤及部分转移性肿瘤,尤其为高龄、心肺功能差、无法耐受全麻或开放手术的患者提供了宝贵的治疗机会。
01
微创无痕

02
CT三维定位下,精准安全


03
效果显著,适应症广泛
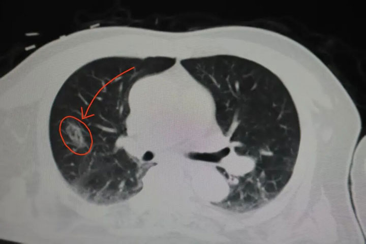
下图可见:术前CT下结节大小及位置

下图可见:术后CT下消融区域正好覆盖结节位置
后续等待自身吸收恢复即可

此次手术的成功开展,正是东方医院集团肿瘤医院将刚完成备案的新技术、新项目迅速应用于临床、惠及于患者的生动实践。是肿瘤内科与胸外科完美开展新技术新项目的强强联合。
东方医院集团肿瘤医院始终坚持“以患者为中心”的理念,积极引进并消化吸收国内领先的微创诊疗技术,不断加大学科建设力度,推动技术创新与临床需求精准对接。




未来,东方医院集团肿瘤医院将持续深耕肿瘤综合治疗领域,进一步拓展微波消融、冷冻消融、纳米刀等系列微创技术,并探索消融联合免疫治疗、靶向治疗等综合模式,以更优质的医疗技术、更温暖的服务能力,守护人民群众的生命健康。
日间服务中心电话:0554-2127366夜间急诊电话:0554-2128006
医院地址:淮南大通区九龙岗镇大通南路
交通指引:乘坐122路或2路公交车到东方肿瘤医院下
Copyright © 2026淮南东方医院集团肿瘤医院